Skip to main content
Cornerstone Dental
Cosmetic and Implant Dentistry
John D. Beckwith, DMD, DABOI, HFAAID, FICOI, FAGD
Arlene O'Brien, DMD, FAGD
Home
Our Dental Team
Dr. Arlene O’Brien
Dr. John D. Beckwith
Our Green Brook Team
Office Information
New Patient Forms
Our Green Brook Office
Cornerstone Premier Dental Membership
Financing Options
Sanitation and Safety Protocols
Blog
Dental Solutions
Family and Comprehensive Dental Care
Family and Comprehensive Dental Care Services
Dental Care for All Ages
Advanced Periodontal Care
Crown Lengthening
TMJ Treatments
Sleep Apnea
Laser Dentistry
Emergency Dentist
Painless Dentistry
Root Canal Treatment
Dental Implant Care and Tooth Replacement
Dental Implant Care and Tooth Replacement Services
Guided Implant Surgery
Single Tooth Implants
Implant-Supported Dentures
All-On-Four and All-on-Six
Choosing an Implant Dentist
Dental Implants Cost
Bone Grafting
Cosmetic and Restorative Dental Care
Cosmetic and Restorative Dental Care Services
Porcelain Veneers
CandidPro™ Clear Aligners
Teeth Whitening
Porcelain Crowns
Cosmetic Bonding
Tooth-Colored Restorations
Smile Makeover
Patient Reviews
Smile Gallery
Contact
Email Us/Location
Request an Appointment
Green Brook
732-424-8483
Stay Connected
Request an Appointment
New Patient Forms
Home
/
Gallery
/
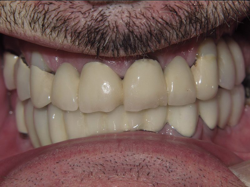
Patient 7
Previous
Patient 7
Next
Before
After
Implant Crowns and Regular Crown